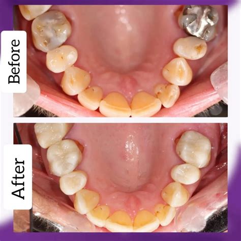
Mark Baker Blog